| 診療時間 | 月 | 火 | 水 | 木 | 金 | 土 | 日 | 祝 |
|---|---|---|---|---|---|---|---|---|
| 10:00~13:00 | ● | ● | ★ | / | ● | ★ | / | / |
| 14:30~19:00 | ● | ● | ★ | / | ● | ★ | / | / |
★午前9:00~13:00/午後14:00~17:00
休診日:木曜・日曜・祝日
歯は、食事などで口の中が酸性になり自然と溶けだす性質と、唾液の作用によって再石灰化する性質を持っています。
この両方のバランスが保たれていればむし歯になりませんが、お口の中に食べかすやみがき残しがあると、菌が歯を溶かすことを促進させてしまいます。
下記の4つの条件がそろうとバランスが乱れやすくなってしまうので、注意が必要です。




初期の自覚症状はほとんどなく、痛みやしみるなどを感じたときには進行していることが多いです。
歯の表面のエナメル質が溶けた状態です。小さな黒ずみができますが、自覚症状もなく、気づかないことが多いです。
症状により、患部を削って詰め物をする治療を行います。
エナメル質の下の象牙質まで溶けた状態です。冷たいものがしみることがあります。
患部を削って詰め物や被せ物をする治療が必要です。
歯の奥の神経までむし歯が進行した状態です。刺激がなくても痛みを感じます。
歯の状態により、神経を洗浄する治療か、神経を抜く治療を行います。歯の保存が難しい場合は抜歯の可能性があります。
歯の上の部分が溶けきり、歯の根だけが残った状態です。神経が死んでしまい、痛みなどは感じません。
歯を残せる状態ではないので、抜歯を行い、入れ歯などの義歯で補います。
歯は治療を重ねていくと、歯そのものが弱くなってしまいます。気づいたときにしっかりと治療して、再発や新たな発症を防ぐことが大切です。
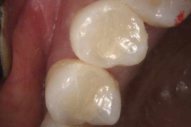
治療前
治療後
| 主訴 | 詰め物を白くしたい |
|---|---|
| 治療期間 | 約2週間 |
| 治療費 | 77,000円 |
| 治療内容 |
・銀歯の下にむし歯があったため、除去。 ・ジルコニアインレーを作成して調整し、装着。 |
| 治療の リスク |
・銀歯ほどではありませんが、メンテナンスを怠ると詰め物と歯のすき間からむし歯が発生する可能性があります。 ・歯ぎしりや食いしばり、噛む力が極度に強いと割れることがあります。 |
治療前
治療後
| 主訴 | 冷たいものがしみる |
|---|---|
| 治療期間 | 約1か月 |
| 治療費 | 77,000円×2本 |
| 治療内容 |
・レントゲンにより、歯と歯の間にむし歯を確認。 ・むし歯を除去し、ジルコニアインレーを作成、装着した。 |
| 治療の リスク |
・銀歯ほどではありませんが、メンテナンスを怠ると詰め物と歯のすき間からむし歯が発生する可能性があります。 ・歯ぎしりや食いしばり、噛む力が極度に強いと割れることがあります。 |
治療前
治療後
| 主訴 | 歯に穴が開いた |
|---|---|
| 治療期間 | 60分 |
| 治療費 | 55,000円 |
| 治療内容 |
・非常に深いむし歯があったため、マイクロスコープにて慎重にむし歯を除去。 ・ハイブリッドセラミックにて修復した。 |
| 治療の リスク |
・神経に近いため、術後に強い痛みが続くようであれば神経を取る必要がある。 ・割れるようであればジルコニアインレーに替える必要がある。 ・メンテナンスを怠ると詰め物と歯のすき間からむし歯が発生する可能性がある。 |
治療前
治療後
| 主訴 | 詰め物が取れた |
|---|---|
| 治療期間 | 60分 |
| 治療費 | 55,000円 |
| 治療内容 |
・取れた詰め物の下がむし歯になっており、マイクロスコープにて慎重にむし歯を除去。 ・ハイブリッドセラミックにて修復した。 |
| 治療の リスク |
・神経に近いため、術後に強い痛みが続くようであれば神経を取る必要がある。 ・割れるようであればジルコニアインレーに替える必要がある。 ・メンテナンスを怠ると詰め物と歯のすき間からむし歯が発生する可能性がある。 |
治療前
治療後
| 主訴 | 歯に穴が開いた |
|---|---|
| 治療期間 | 60分 |
| 治療費 | 55,000円 |
| 治療内容 |
・非常に深いむし歯があったため、マイクロスコープにて慎重にむし歯を除去。 ・ハイブリッドセラミックにて修復した。 |
| 治療の リスク |
・神経に近いため、術後に強い痛みが続くようであれば神経を取る必要がある。 ・割れるようであればジルコニアインレーに替える必要がある。 ・メンテナンスを怠ると詰め物と歯のすき間からむし歯が発生する可能性がある。 |
治療前
治療後
| 主訴 | 歯と歯の間に物がつまりやすい |
|---|---|
| 治療期間 | 60分~ |
| 治療費 | 55,000円×2本 |
| 治療内容 |
・レントゲンにより、歯と歯の間にむし歯を確認。 ・マイクロスコープにて慎重にむし歯を除去。 ・ハイブリッドセラミックにて修復した。 |
| 治療の リスク |
・術後に強い痛みが続くようであれば神経を取る必要がある。 ・割れるようであればジルコニアインレーに替える必要がある。 ・メンテナンスを怠ると詰め物と歯のすき間からむし歯が発生する可能性がある。 |